Avant / Après Facettes Dentaires: Quels résultats attendus ?

Les facettes dentaires, qui sont de fines coques en céramique ou en composite, constituent une option esthétique largement plébiscitée par les habitants de Genève en quête d'une transformation radicale de leur sourire. Les coquilles fines en porcelaine ou en composite, connues sous le nom de facettes dentaires, offrent la possibilité de corriger les imperfections esthétiques des dents telles que les taches, les ébréchures ou l'alignement incorrect.
Les facettes dentaires, qui sont de fines coques en céramique ou en composite, sont solidement collées sur la face visible des dents. Grâce à cette technique, il est possible de transformer et d'embellir le sourire de façon naturelle et pérenne, en corrigeant par exemple des imperfections telles que des dents tachées, ébréchées ou mal alignées.
Qu’est-ce qu’une facette dentaire ?
Les facettes dentaires sont des revêtements fins, généralement en porcelaine, collés sur les dents afin d’améliorer leur apparence. Elles permettent de résoudre plusieurs problèmes esthétiques, tels que des taches, des fissures, ou des dents de forme irrégulière. La pose est simple et non invasive, et peut considérablement améliorer l’esthétique d’un sourire.
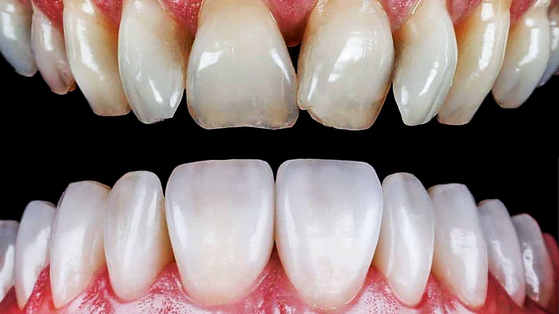
Les résultats avant et après la pose des facettes dentaires
Amélioration esthétique immédiate
L’un des principaux résultats observés après la pose des facettes dentaires à Genève est l’amélioration de l’apparence des dents. Avant l’intervention, des imperfections comme des dents jaunes, ébréchées ou mal formées peuvent affecter la confiance en soi. Après la pose des facettes, les dents deviennent brillantes, régulières et d'une teinte naturelle. Ce changement est visible immédiatement après la pose.
Correction des défauts dentaires
Les facettes permettent également de corriger des imperfections plus spécifiques. Par exemple, des dents légèrement écartées ou plus petites peuvent être comblées pour donner un sourire plus uniforme. Elles sont aussi résistantes aux taches, ce qui aide à maintenir un sourire éclatant pendant de nombreuses années.
Durabilité des résultats
Les facettes en porcelaine, utilisées par de nombreux dentistes à Genève, sont particulièrement durables. Bien qu’elles ne soient pas éternelles, elles peuvent durer de nombreuses années si elles sont bien entretenues. Cela permet aux patients de profiter d’un sourire magnifique pendant longtemps après l’intervention.
Consultation et procédure à Genève
Lors de la consultation avec un dentiste à Genève, celui-ci procédera à un examen pour déterminer si les facettes sont la meilleure option. Après la préparation des dents, les facettes seront posées en deux étapes : la prise d’empreintes et la pose définitive. Les résultats finaux seront personnalisés pour répondre à vos attentes spécifiques.
Les facettes dentaires sont une solution efficace pour transformer l’apparence d’un sourire. À Genève, elles permettent de corriger diverses imperfections dentaires et offrent des résultats visibles et durables. Avant de prendre une décision, il est important de consulter un professionnel pour discuter des options adaptées à votre situation. Avec les bons soins, les facettes peuvent offrir un sourire éclatant pendant des années.Révélez votre sourire de rêve chez Smile Design Boutique, prenez rendez-vous aujourd'hui !
- Questions and Answers
- Opinion
- Motivational and Inspiring Story
- Technology
- Live and Let live
- Focus
- Geopolitics
- Military-Arms/Equipment
- Beveiliging
- Economy
- Beasts of Nations
- Machine Tools-The “Mother Industry”
- Art
- Causes
- Crafts
- Dance
- Drinks
- Film/Movie
- Fitness
- Food
- Spellen
- Gardening
- Health
- Home
- Literature
- Music
- Networking
- Other
- Party
- Religion
- Shopping
- Sports
- Theater
- Health and Wellness
- News
- Culture